logo image

TRUE LOCK 1/3 Tubular Straight Plates

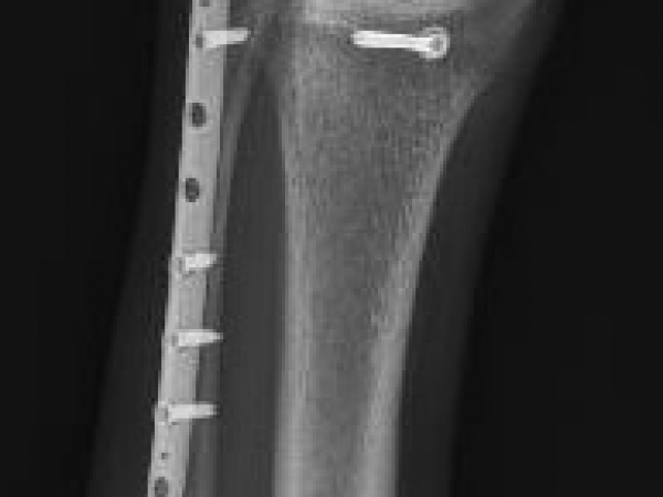
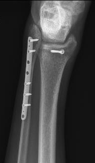
TRUE LOCK 1/3 Tubular Straight Plates are indicated for fractures of ulna, radius and fibula shaft.


Radius and ulna body fractures differ from other diaphyseal fractures due to the relationship between both bones and the fractures can affect the elbow and wrist joints. In adulthood, forearm fractures often require surgical treatment, as they are noticeably displaced and unstable.


9 hole option between 4-12 


TRUE LOCK 1/3 Tubular Straight Plates are made of Ti6Al4V ELI material (ASTM F136)

Features
1
Low plate-and-screw profile and rounded plate edges minimize potential for tendon and soft tissue irritation.
2
Kirschner wire holes accept Kirschner wires (up to 1.5 mm) to temporarily fix the plate to the bone , to temporarily reduce articular fragments, and to confirm the location of the plate, relative to the bone.
3
Locking the screw into the plate does not generate additional compression. Therefore, the periosteum will be protected and the blood supply to the bone preserved.
Images Gallery